本试剂盒基于酪胺信号放大技术(TSA),通过酶促催化反应实现高效信号放大,适用于多重免疫荧光检测。其原理是利用辣根过氧化物酶(HRP)催化酪胺荧光底物,生成高活性自由基,与靶点附近的蛋白质共价结合,从而在目标抗原位点沉积大量荧光标记,实现信号级联放大。
实验流程包括抗原修复、过氧化氢封闭、一抗与HRP标记二抗依次孵育、TSA荧光沉积,以及热修复洗脱步骤。通过循环上述过程并更换荧光酪胺底物,可顺利完成多重抗原标记。
您现在的位置:
首页
>
产品
>
多重荧光染色试剂
多重荧光染色试剂
联系我们产品规格
| 货号 | 产品名称 | 规格 |
|---|---|---|
|
BCK0401 |
两标三色多重荧光染色试剂盒(兔鼠通用二抗) |
20T/盒 |
|
BCK0402 |
两标三色多重荧光染色试剂盒(兔鼠通用二抗) |
50T/盒 |
|
BCK0403 |
两标三色多重荧光染色试剂盒(兔鼠通用二抗) |
100T/盒 |
|
BCK0405 |
三标四色多重荧光染色试剂盒(兔鼠通用二抗) |
20T/盒 |
|
BCK0406 |
三标四色多重荧光染色试剂盒(兔鼠通用二抗) |
50T/盒 |
|
BCK0407 |
三标四色多重荧光染色试剂盒(兔鼠通用二抗) |
100T/盒 |
|
BCK0408 |
四标五色多重荧光染色试剂盒(兔鼠通用二抗) |
20T/盒 |
|
BCK0409 |
四标五色多重荧光染色试剂盒(兔鼠通用二抗) |
50T/盒 |
|
BCK0410 |
四标五色多重荧光染色试剂盒(兔鼠通用二抗) |
100T/盒 |
存储条件:2℃至8℃,应避免强光照射,有效期为12个月
产品特点
信号放大显著
可实现 10–100倍 的信号增强,有效检测低丰度靶标。
灵敏度与稳定性俱佳
具备优异的光稳定性和空间特异性,信号牢固,不易脱落。
支持多重染色
适用于多轮循环染色,实现同一样本中多靶标的高重检测。
应用范围广泛
兼容免疫荧光、免疫组化及原位杂交等多种实验技术。
保持样本完整性
在显著提升检测灵敏度和精度的同时,不损伤样本原结构。

服务案例

人扁桃体组织 2标3色
Nucleus, PD-1,Pan-CK

人肺癌组织 3标4色
Nucleus,CD4, CD8, CD21

人肺癌组织 4标5色
Nucleus,CD8, CD20, CD23, Pan-CK

人扁桃体组织 5标6色
Nucleus,CD4, CD23, CD68, PD-1, Pan-CK

人肺癌组织 6标7色
Nucleus,CD8, CD21, CD20, CD4, PD-1,Pan-CK

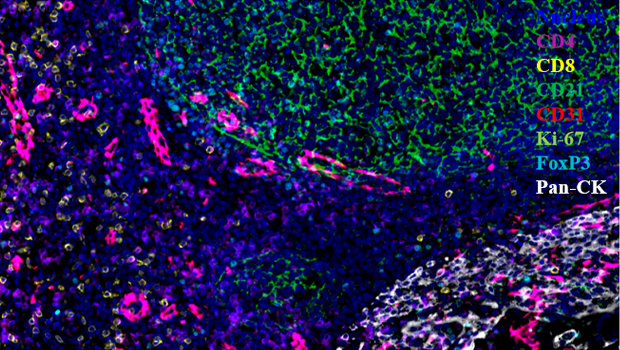
人扁桃体组织 7标8色
Nucleus,CD4,CD8,CD21,CD31,Ki-67,FoxP3,Pan-CK

人肺癌组织 8标9色
Nucleus,CD4,CD8,CD20,CD21,CD23,CD68,PD-1,Pan-CK
联系我们
我们将在一个工作日内与您联系,请注意查收您的电子邮件。

扫码联系客服
