多重免疫荧光检测技术服务
您现在的位置:
首页
>
服务
>
多重免疫荧光检测技术服务
多靶标·原位·定量
下一代组织表型分析方案
该技术显著提升检测灵敏度,突破传统免疫组化中抗体种属来源的限制,支持多生物标志物的原位共检。结合定量分析,可系统获取组织中各靶点的表达水平、空间定位及互作信息,为疾病机制研究、诊断与治疗策略开发提供全面、直观、可靠的数据支持。
解决方案
- 肿瘤微环境:组织原位空间信息分析,肿瘤免疫浸润分析
- 细胞衰老/凋亡/铁死亡/细胞自噬等
- 代谢、神经等相关领域
- 其他需要多个蛋白靶点同时检测的领域
- 临床前药物功能验证:抗体药物评价
- 预后和转移风险评估:生物标志物分析肿瘤联合治疗
- 免疫检查点机制研究:免疫细胞的表达及定位
- 复杂疾病的分子分型:肿瘤免疫辅助诊断

服务项目及交付内容
| 项目 | 服务内容 | 交付内容 |
|---|---|---|
| 石蜡包埋服务 |
组织石蜡包埋:将组织样本通过固定、脱水、浸蜡等步骤制备成组织蜡块; 细胞石蜡包埋:将培养的细胞样本经固定、离心富集并制备成细胞蜡块。 |
蜡块 |
| 石蜡切片服务 |
将组织蜡块通过切片、展片、捞片等步骤制成组织(细胞)切片。 |
组织(细胞)切片 |
| 切片染色服务 |
免疫组化(IHC)单标染色; 常规荧光多标染色:2标3色,3标4色,4标5色,5标6色,6标7色; |
染色切片 |
| 全景切片扫描服务 | 样本类型:标准玻片、组织芯片、细胞涂片、细胞爬片等样本的多色免疫荧光全景扫描; | 全景扫描图像文件 |
| 多色全景成像数据AI分析服务 |
单细胞:准确识别单个细胞的细胞核、细胞质、细胞膜染色区域,提供面积、染色强度、数量及多种形态学数据,包括总细胞及阳性细胞的计数、平均强度、百分比等; 组织结构:基于AI自学习实现特殊组织类型的识别,如三级淋巴结构,提供数量、面积、染色强度、百分比等量化分析数据; 空间分布:特定组织或结构分层划分实现组织微环境的细化分析,提供组织与细胞之间不同形态关系分布及蛋白表达的空间分布数据。 |
分析报告 |
样本要求
其他样本:常温运输即可
抗体:需低温冷链运输

服务案例

Nucleus, PD-1,Pan-CK

Nucleus, CD4, CD8, CD21

Nucleus,CD8, CD20, CD23, Pan-CK

Nucleus,CD4, CD23, CD68, PD-1, Pan-CK

Nucleus,CD8, CD21, CD20, CD4, PD-1,Pan-CK

Nucleus,CD4,CD8,CD21,CD31,Ki-67,FoxP3,Pan-CK

Nucleus,CD4,CD8,CD20,CD21,CD23,CD68,PD-1,Pan-CK

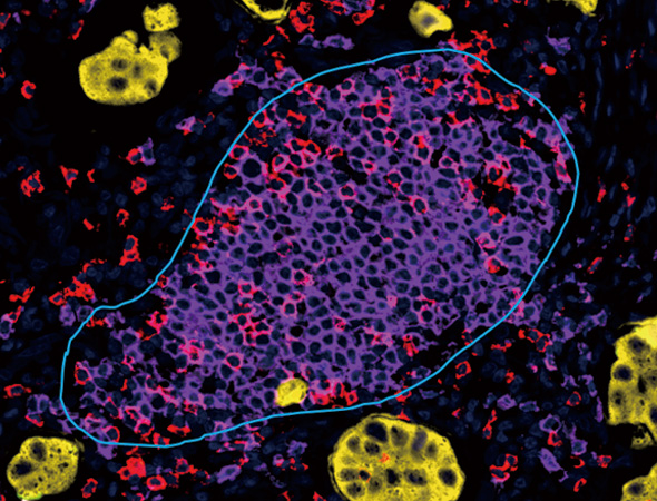
根据肿瘤蛋白标记或组织形态将组织划分为肿瘤实质区和间质区,并统计组织区域面积、阳性细胞数量、百分比、密度。

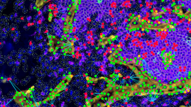
识别分析区域内每个靶细胞的空间位置,计算两两细胞的距离,可分析某类细胞在一定区间范围内另一靶细胞的分布情况,并给出数据统计直方图。

空间浸润分析用于分析病灶区域(如肿瘤、坏死、纤维化等)周围某类细胞的浸润情况。如常用于肿瘤免疫浸润分析。

通过识别组织图像中标志物的染色信息,自动调节荧光强度并识别出图像中 TLS 结构进行标注,进一步定量分析可得到图像中每个 TLS 独立的定量数据,同时可进一步对三级淋巴结构的内部进行空间分析。
联系我们
我们将在一个工作日内与您联系,请注意查收您的电子邮件。

扫码联系客服











